Ziņas15.05.2026Likumsargi izmeklē iespējamu korupciju Stradiņa slimnīcā, atstādināts Neiroķirurģijas klīnikas vadītājs Valeinis4
Par veselību18.04.2026Stradiņa slimnīcā veikta augstas sarežģītības galvas smadzeņu operācija pacientam esot nomodā
Izklaide15.02.2026Samanta Tīna sāk visu no nulles, Intars Rešetins sāk tirgot gaļu; Uģis Magonis nespēj atrast darbu, bet Valeiņi sadala mantu - nedēļas spilgtākie notikumi pašmāju šovbiznesā
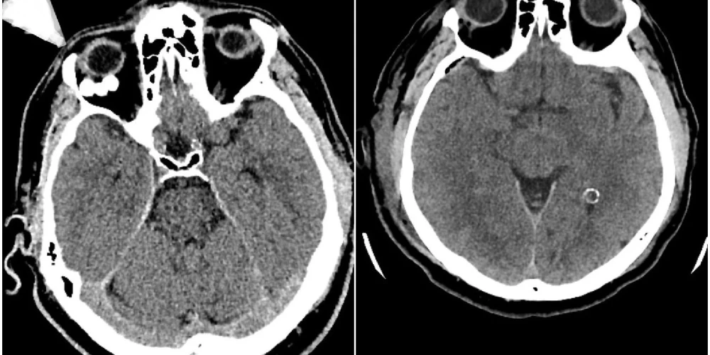
Par veselību16.01.2026Stradiņa slimnīcā veikta unikāla neiroķirurģiska operācija – caur galvaskausu izoperēts audzējs acs dobumā aiz acs ābola
Sports15.08.2025Latvijas Tenisa federācija paliek bez vadības – Gulbis un Mellups atkāpjas no amatiem
Izklaide06.04.2023Svin Aleksandrs Samoilovs un Ainars Virga - sveicam viņus un arī pārējos jubilārus!48
Par veselību06.06.2019Tikai 13 gadu vecajam Danielam Stradiņos no smadzenēm izoperēta "bumba ar laika degli"2
Ziņas21.12.2017Par spīti drūmajām prognozēm "Liepājas" rallijā avarējušā helikoptera pilots ir dzīvs un izrakstīts no slimnīcas
Par veselību10.05.2017Stradiņa slimnīcā sāk operēt ar jaunu 600 000 eiro vērtu neironavigācijas iekārtu
Ziņas02.12.2015Taureņi, putni un ziedi atdzīvojas! Krāšņi atklāta Kristīnes Luīzes Avotiņas izstāde. FOTO108