
Stradiņa slimnīcā veikta unikāla neiroķirurģiska operācija - caur galvaskausu izoperēts audzējs acs dobumā aiz acs ābola

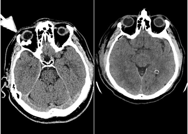
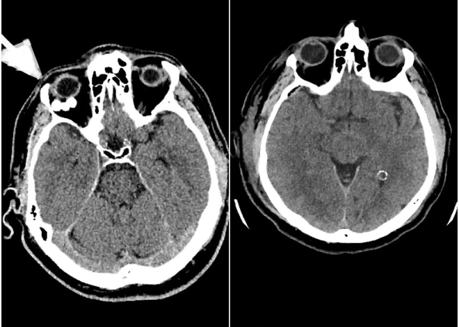
Paula Stradiņa Klīniskās universitātes slimnīcas (PSKUS) Neiroķirurģijas klīnikā 7.janvārī veikta unikāla un ārkārtīgi reta operācija pacientam ar neparastu patoloģiju – blīvu, kalcinētu veidojumu acs dobumā aiz acs ābola, ziņo PSKUS sabiedrisko attiecību daļas vadītāja Vineta Kļaviņa.
Pacients ilgstoši sūdzējās par redzes dubultošanos, spiediena sajūtu labajā acī un acs ābola kustību traucējumiem, bet neskatoties uz simptomiem, redze bija saglabāta. Padziļināti izmeklējumi atklāja ļoti retu, kalcinētu veidojumu, kas saspieda acs muskuļus un nervus, izraisot neiroloģiskos simptomus.
Operācijas laikā neiroķirurģijas komanda veica augstas precizitātes ķirurģisku iejaukšanos – caur galvaskausu tika izveidota aptuveni vienu centimetru liela atvere acs dobuma sienā, kas ļāva piekļūt patoloģiskajam veidojumam un veikt tā pilnīgu rezekciju, nebojājot acs struktūras.
Pēc operācijas pacientam pilnībā izzuda pirmsoperācijas sūdzības, un tika pilnībā saglabātas visas acs funkcijas, tostarp redze un acs kustīgums.
Neiroķirurģijas klīnikas vadītājs dr. Egils Valeinis stāsta “Šis ir ārkārtīgi rets un klīniski unikāls gadījums – savā līdzšinējā praksē neesmu saskāries ar līdzīgu patoloģiju. Šādu sarežģītu operāciju veikšana ir iespējama, pateicoties augsta līmeņa tehnoloģiskajam nodrošinājumam Stradiņa slimnīcā, kā arī nepārtrauktai speciālistu profesionālajai pilnveidei un starptautiskai pieredzes apmaiņai.”
“Šādos gadījumos ķirurgam ir liela profesionālā un cilvēciskā atbildība. Pacienta uzticēšanās šīs sarežģītās operācijas laikā bija īpaši nozīmīga, un ir patiess prieks redzēt, ka rezultāts attaisnoja gan pacienta, gan komandas cerības,” papildina ārste neiroķirurģe Jūlija Dolgopolova.
Operāciju veica Neiroķirurģijas klīnikas komanda: ārste neiroķirurģe Jūlija Dolgopolova, ārsts rezidents Kristaps Rancāns, operāciju māsas Elīna Strogonova un Tatjana Pudāne, māsas palīgs Daniils Važņins, anestezioloģe Tamāra Zītare un vispārējās aprūpes māsa anestēzijā un intensīvajā aprūpē Sanita Balode.
Par Stradiņa slimnīcu
Paula Stradiņa Klīniskā universitātes slimnīca ir viena no lielākajām daudzprofilu slimnīcām valstī, kas sniedz pilna apjoma neatliekamo un plānveida medicīnisko palīdzību. Stradiņa slimnīca ir vienīgā slimnīca Latvijā, kas nodrošina daudznozaru ārstēšanu, tostarp sirds ķirurģiju un orgānu transplantāciju. Stradiņa slimnīca nodrošina pirms un pēc diploma izglītību, veic zinātniskus pētījumus un nodrošina jaunu ārstniecības metožu un tehnoloģiju aprobēšanu un ieviešanu Latvijā. Slimnīca ir septītais lielākais darba devējs valstī, kur strādā ap 3500 darbinieku.








