
Zinātnieki atklājuši būtisku pavedienu cīņā ar Alcheimera slimību. Atslēga - vīrietis Kolumbijā
Zinātnieki apgalvo, ka vīrietis, kurš gadu desmitiem nepakļāvās ģenētikai, var būt atslēga Alcheimera slimības profilaksei. Šis pavediens varētu palīdzēt aizsargāt cilvēkus, kuriem draud šī demences veida saslimšana, ziņo CNN.
Vīrietis, kuram, šķiet, bija lemts 40 līdz 50 gadu vecumā zaudēt atmiņu, pamatojoties uz ģimenes vēsturi, saglabāja normālas kognitīvās funkcijas gadu desmitiem ilgāk, nekā tas tika prognozēts. Šķiet, ka viņu pasargāja retas gēnu izmaiņas, kas uzlaboja olbaltumvielas, kura palīdz nervu šūnām sazināties, darbību.
Zinātnieki apgalvo, ka izpratne par to, kā šīs gēnu izmaiņas aizsargāja viņa smadzenes, var palīdzēt novērst Alcheimera slimību citiem cilvēkiem.
Minētais vīrietis audzis lielā ģimenē Kolumbijā, un daudzi šīs ģimenes locekļi pārmantojuši mutējošu gēnu, ko sauc par presenilīnu-1 jeb PSEN1. Pētnieki apgalvo, ka var gandrīz droši teikt, ka šī gēna nēsātājiem Alcheimera slimība attīstīsies salīdzinoši jaunā vecumā.
Vīrietim, kuram bija PSEN1 mutācija, laika gaitā attīstījās atmiņas un domāšanas problēmas. 72 gadu vecumā viņam diagnosticēja vieglu demenci, pēcāk atmiņas traucējumi pieauga, bet 74 gadu vecumā minētais vīrietis nomira no pneimonijas.
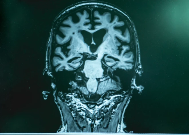
Taču, pēc visām pazīmēm, ar atmiņas un domāšanas problēmām viņam vajadzēja saskarties jau gadu desmitiem agrāk. Kad ārsti pēc nāves pārbaudīja viņa smadzenes, atklāja, ka tajās ir daudz beta amiloīda un tau - divu olbaltumvielu veidi, kas uzkrājas Alcheimera slimnieku smadzenēs.
Veicot ģenētisko analīzi, atklājās, ka vīrietim ir reti sastopamas izmaiņas gēnā, kas kodē olbaltumvielu, kas palīdz nervu šūnām sazināties. “Šajā gadījumā bija skaidrs, ka izmaiņas konkrētajā gēnā, uzlabo vīrieša smadzeņu darbību. Tas paver iespējas palīdzēt pacientiem nākotnē,” apstiprināja Dr. Džozefs Arboleda-Velaskess, Hārvarda universitātes oftalmoloģijas asociētais profesors.
Pētījums pirmdien, 15. maijā, publicēts žurnālā “Nature Medicine”.
Šī ir otrā reize, kad pētnieku komanda, kas pēta šo paplašināto ģimeni no Kolumbijas, ir atraduši kādu, kurš nepakļaujas ģenētiskajām prognozēm.
2019. gadā zinātnieki ziņoja par sievietes gadījumu, kurai vajadzēja saslimt ar agrīnu Alcheimera slimību, bet tā vietā viņa saglabāja atmiņu un domāšanas spējas līdz pat 70 gadu vecumam.








