
Zinātnieki atraduši atbildes, kas izraisīja nāvējošās pneimonijas uzliesmojumu Argentīnā
Amatpersonas tagad strādā, lai noskaidrotu slimības uzliesmojuma avotu, kura rezultātā četri cilvēki ir miruši, ziņo britu mediji.
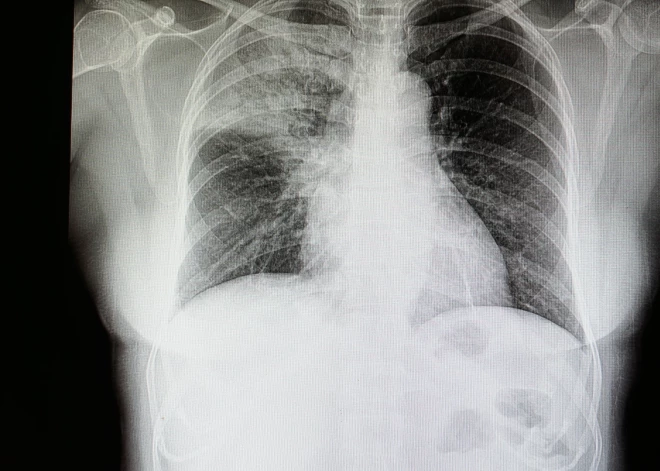
Pneimonijas uzliesmojumu, kas izraisīja četru cilvēku nāvi Argentīnas ziemeļrietumos, izraisīja Legionellas baktērijas, paziņojušas valsts veselības aizsardzības iestādes.
Uzliesmojums, kurā tika reģistrēti 11 saslimšanas gadījumi, bija saistīts ar vienu privātu veselības aprūpes klīniku Tukumanas pilsētā, paziņoja Veselības organizācija.
Argentīnas Veselības ministrija ir informējusi, ka saslimšanas cēlonis ir legionellas, un piebilda, ka iestādes pašlaik izmeklē slimības avotu.
Provinces veselības aizsardzības iestādes vāc vides paraugus, veic riska novērtēšanu un ievieš kontroles pasākumus veselības aprūpes klīnikā saistībā ar slimības uzliesmojumu.
Jau zinots, ka Tukumanas provincē, valsts ziemeļrietumos, ar mīklaino elpceļu slimību sasirguši deviņi cilvēki, arī astoņi privātas slimnīcas medicīnas darbinieki, žurnālistiem sacīja Tukumanas veselības ministrs Luiss Medina Ruiss.
Dienesti veikuši testus, tomēr ministrs norādīja, ka tiek izslēgts Covid-19, A un B tipa gripa, leģionāru slimība un Hantanas vīruss, ko izplata grauzēji.



