
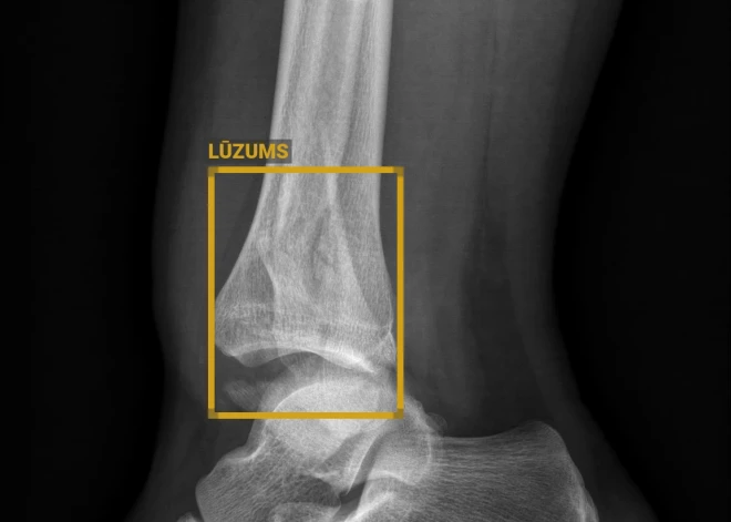
Vidzemes slimnīcā mākslīgais intelekts atpazīst kaulu lūzumus
Uzlabojot pakalpojumu kvalitāti, Vidzemes slimnīca turpina ieviest mākslīgā intelekta risinājumus. Jaunākais no tiem ir saistīts ar diagnostiskajiem izmeklējumiem, kuros tiek iesaistīts digitālais rentgena attēlu mākslīgā intelekta apstrādes rīks “GLEMER BoneView”. Tas atklāj kaulu lūzumus, arī izsvīdumus, dislokācijas un kaulu bojājumus rentgena attēlos, informē Vidzemes slimnīca.
"Pirms jaunās programmatūras ieviešanas Vidzemes slimnīcas speciālisti iepazinušies ar citu slimnīcu pieredzi tās lietošanā. Atsauksmes bijušas pozitīvas – programmatūras izmantošana ievērojami samazinājusi speciālistu laiku attēlu analīzei un aprakstiem, kā arī kļūdu daudzumu, jo palīdzējusi atklāt vairākus gan vienkāršus, gan sarežģītus lūzumus, kā arī mikroplīsumus," stāsta Vidzemes slimnīcas Informāciju tehnoloģiju daļas vadītājs Dainis Ciguzis.
Kas tad ir BoneView?
“Radiologu un citu speciālistu, kuru ikdiena saistīta ar dažādu kaulu traumu atpazīšanu un ārstēšanu, uzticams un precīzs palīgs. Ir pierādīts, ka šis palīgs uzlabo diagnostikas laiku un samazina kļūdu iespējamību. Mākslīgais intelekts, protams, neaizstāj cilvēku, bet kalpo kā attēla dubulta pārbaude un ievērojami samazina cilvēciskās kļūdas riskus, nosakot diagnozi. Atpazīšanas precizitāte, kā liecina pētījumi, sasniedz 97 līdz 99 % atkarībā no anomālijas,” uzsver Ciguzis.
BoneView pārsvarā tiek lietota uzņemšanas nodaļas traumpunktā un traumatoloģijas nodaļas rentgenogrāfijā pacientu traumu gadījumos, ļaujot ieekonomēt radiologu un traumatologu laiku. Izmeklējuma atbilde tiek iegūta ātrāk, attiecīgi ātrāk pacients nokļūst piemērotā aprūpē un rezultātā tiek samazinātas medicīnas aprūpes izmaksas sabiedrībai.
BoneView ir apstiprināts klīniskai lietošanai gan pieaugušo, gan bērnu izmeklējumiem, un tas palīdz samazināt diagnostikā garām palaistu lūzumu skaitu par 30%.
Vidzemes slimnīcā mākslīgā intelekta risinājumu izmantošana sākās pirms diviem gadiem. Vispirms tika ieviesta programma balss atpazīšanai stacionāra pacientu izrakstu sagatavošanā, sekoja mākslīgā intelekta iesaiste insulta pacientu precīzākai un ātrākai izmeklēšanai un diagnostikai. Nākotnē plānots paplašināt medicīniskās dokumentācijas digitālās sagatavošanas iespējas, ar mākslīgā intelekta palīdzību noformējot arī operāciju aprakstus, konsultantu slēdzienus un citus dokumentus.



